Improving respiratory care for those seeking drug and alcohol treatment in Wirral
Monday, 2 September 2024

Wirral respiratory care project
Wirral was among the first areas in the country to experience a dramatic rise in heroin use during the 1980s. The borough has responded strongly to address drug issues over the years, achieving many positive outcomes.
However, during the 2010s Wirral experienced an alarming increase in the number of drug-related deaths. Subsequent analysis suggested that a main factor was the chronic and complex ill health experienced by drug users.
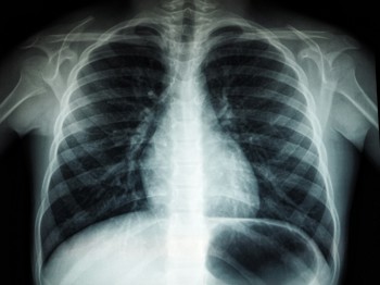
The Community Respiratory Care Team at Wirral University Teaching Hospital identified that people with a history of illicit drug use are at higher risk of respiratory disease than their peers. Their decline into severe disease is more rapid than cigarette smokers and they are more likely to attend hospital. It was also noted that they have poor engagement with traditional models of healthcare.
A project was established to enable the integration of the Community Respiratory Care Specialist Nurses Team into Wirral Ways – the trust’s drug and alcohol service – by providing dedicated respiratory clinics. This ushered in a new and innovative partnership for identifying service users with respiratory disease, aiming to optimise patient care and support the more effective management of those presenting to Wirral Ways with long-term conditions.
Drug users were the primary target group because of the lung damage caused by the long-standing habits of smoking heroin (foil smoking) and smoking cannabis – habits that exacerbate the harm arising from smoking tobacco. However, the service also supports alcohol users engaging with Wirral Ways who may have respiratory conditions arising from their smoking.
At the onset, it was anticipated that 42% of Wirral Ways service users may require a referral to the respiratory clinic for support, which amounts to approximately 400 service users per year.
Impact and outcomes
Since mobilising in October 2021, the service has shown great flexibility and has adapted to include home visits and visits to hostels, homeless centres and other services, ensuring greatly improved and equitable access to specialist respiratory advice for a population group with significant health disadvantages.
Key impacts include:
- 842 service user reviews completed by specialist respiratory nurses in the first two years of the service – 449 for new patients and 393 follow-ups.
- Greatly improved integration between providers of smoking services, drug treatment and respiratory care.
- Better access to respiratory consultant reviews and support for individuals identified as having additional respiratory needs.
- Improved access and engagement and better service user awareness of, and links with, wider health care system providers, such as community matrons.
Since October 2022 there has been an overall downturn in the local trend for drug-related deaths and deaths in treatment. Although it would be difficult to draw a direct line between this downturn and the impact of the service, it is nevertheless likely to be a contributory factor. Service user feedback has also been very positive.